التهاب القزحية و أعراض التهاب القزحية
التهاب القزحية
يعرف التهاب القزحية بالإنجليزية Iritis أو التهاب العنبية الأمامي بالإنجليزية Anterior uveitis على أنه التهاب يصيب قزحية العين بالإنجليزية Iris مما يسبب تورمها وتعرضها للتهيج والقزحية هي الحلقة الملونة المحيطة بحدقة العين أو ما يطلق عليها اسم بؤبؤ العين بالإنجليزية Pupil أما العنبية بالإنجليزية Uvea فهي الطبقة الوسطى من العين وتقع بين الشبكية بالإنجليزية Retina وبياض العينين والقزحية موجودة في الجزء الأمامي من العنبية ومن الجدير بالذكر أن مصطلح التهاب العنبية يستخدم لوصف التهاب جزء من العنبية أو كلها ويعد التهاب القزحية أكثر أنواع التهاب العنبية شيوعا والذي لا بد من زيارة الطبيب عند ظهور أي من أعراضه وذلك لأن عدم علاجه قد يسبب الجلوكوما أو ما اسمها المياه الزرقاء أو الزرق بالإنجليزية Glaucoma أو حتى فقدان البصر وحسبما أشارت إليه دراسة نشرت في مجلة المناعة الذاتية في العين والتهاباتها بالإنجليزية Ocular Immunology and Inflammation عام 2016م فإن التهاب العنبية الأمامي مجهول السبب أكثر أنواع التهاب العنبية شيوعا في المجتمع
أعراض التهاب القزحية
تشبه أعراض التهاب القزحية الأعراض المصاحبة لأمراض مختلفة تصيب العين ولذلك يفحص الطبيب مقدمة العين وداخلها تحت المجهر بشكل دقيق للتوصل للتشخيص الصحيح ومن الجدير بالذكر أن أعراض التهاب القزحية تبدأ بالظهور بشكل فجائي خلال مدة تتراوح بين عدة ساعات إلى أيام على إحدى العينين أو كلتيهما وقد تستمر لمدة تصل إلى ثلاثة أشهر وتتضمن الأعراض الأكثر شيوعا التي يشعر بها المصاب ما يأتي
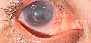
- الشعور بالألم وإدماع العينين مع وجود حساسية تجاه الضوء وعدم وضوح الرؤية
- رؤية بعض المصابين لنقاط أو بقع صغيرة متحركة ضمن مجال الرؤية
- احتمالية ظهور بؤبؤ العين بحجم أصغر أو بشكل غير منتظم
- احمرار العينين وتورمهما
أسباب التهاب القزحية
بالرغم من عدم وجود سبب محدد وراء الإصابة بالتهاب القزحية إلا أنه يمكن تقسيم الأسباب إلى فئتين رئيستين كما هو مفصل آتيا
التهاب القزحية المرتبط بإصابة العين
قد يظهر التهاب القزحية نتيحة تعرض العين للأذى مثل التعرض للضربات المسببة للتورم أو الجروح أو الحروق أو التعرض للمواد الكيميائية السامة
التهاب القزحية غير المرتبط بإصابة العين
قد يرتبط التهاب القزحية بأسباب تتعلق بالإصابة بالعدوى وبأمراض ومشاكل صحية مختلفة تشمل ما يأتي
- مشاكل صحية مختلفة مثل
- الاستعداد الوراثي بالإنجليزية Genetic predisposition قد يصاب الأشخاص الذين تتطور لديهم أمراض مناعة ذاتية بالإنجليزية Autoimmune diseases ناتجة عن تغيرات جينية بالتهاب القزحية الحاد ومن هذه الأمراض التهاب الفقار المقسط بالإنجليزية Ankylosing spondylitis وهو أحد أنواع التهاب المفاصل بالإنجليزية Arthritis والتهاب المفاصل التفاعلي أو ما اسمه التهاب المفاصل الارتكاسي بالإنجليزية Reactive arthritis والتهاب المفاصل الصدفي بالإنجليزية Psoriatic arthritis ومرض الأمعاء الالتهابي بالإنجليزية Inflammatory bowel disease
- داء بهجت بالإنجليزية Behcet s disease تصاحب هذا المرض مشاكل في المفاصل وتقرحات في الفم وأخرى في المناطق التناسلية ومن الجدير بالذكر أن داء بهجت يعد من الأسباب غير الشائعة للإصابة بالتهاب القزحية الحاد في بلاد الغرب
- التهاب المفاصل الروماتويدي اليفعين أو ما اسمه التهاب المفاصل الرثياني الشبابي بالإنجليزية Juvenile rheumatoid arthritis إذ يمكن أن يصيب التهاب القزحية المزمن الأطفال المصابين بهذا المرض
- الساركويد بالإنجليزية Sarcoidosis وهو من أمراض المناعة الذاتية الذي يتضمن نمو مجموعات من الخلايا الالتهابية في أماكن مختلفة من الجسم بما في ذلك العينان
- متلازمة رايتر بالإنجليزية Reiter s syndrome وهي خليط من التهاب المفاصل والتهاب القزحية والتهاب الملتحمة بالإنجليزية Conjunctivitis
- الذئبة الحمامية الجهازية بالإنجليزية Systemic lupus erythematosus
- الصدفية بالإنجليزية Psoriasis
- الإصابة بالعدوى وتتضمن ما يأتي
- مرض لايم بالإنجليزية Lyme disease
- السل بالإنجليزية Tuberculosis
- داء المقوسات بالإنجليزية Toxoplasmosis
- مرض الزهري بالإنجليزية Syphilis
- الهربس البسيط بالإنجليزية Herpes simplex وفيروسات الهربس النطاقية بالإنجليزية Herpes zoster viruses
- داء النوسجات بالإنجليزية Histoplasmosis
- فيروس نقص المناعة البشرية بالإنجليزية human immunodeficiency virus واختصارا HIV المسبب للإيدز
- العلاجات الدوائية قد تسبب بعض الأدوية المستخدمة في علاج الإيدز الإصابة بالتهاب القزحية ولكن بصورة نادرة ومن أمثلتها المضاد الحيوي ريفابوتين بالإنجليزية Rifabutin ومضاد الفيروسات السيدوفوفير بالإنجليزية Cidofovir كما قد تسبب أدوية البيسفوسفونات بالإنجليزية Bisphosphonates المستخدمة في علاج هشاشة العظام التهاب القزحية في حالات نادرة ومن الجدير بالذكر أن إيقاف هذه الأدوية يترافق عادة مع توقف أعراض التهاب القزحية
عوامل خطر التهاب القزحية
يرتفع خطر الإصابة بالتهاب القزحية عند وجود مشاكل صحية معينة ذات صلة به كما أن خطر الإصابة لدى الإناث يكون أعلى وذلك بسبب ارتفاع خطر إصابتهن ببعض أنواع أمراض المناعة الذاتية المرتبطة بالتهاب القزحية وقد يسبب حصول تغيرات وراثية في بعض الجينات المرتبطة بوظيفة الجهاز المناعي الإصابة بالتهاب القزحية إلى جانب أن التدخين يرفع هذا الخطر
تشخيص التهاب القزحية
يشخص أخصائي العيون التهاب القزحية عن طريق الفحص الجسدي إلى جانب الاطلاع على التاريخ المرضي للمريض ويتضمن ذلك فحصا كاملا للعين يستعين فيه الطبيب بالعديد من الاختبارات مثل فحص المصباح الشي بالإنجليزية Slit lamp وهو عبارة عن مجهر يكبر سطح العين وداخلها وقد يلجأ الطبيب أثناء ذلك إلى وضع قطرات من صبغة معينة داخل العين بهدف توفير رؤية أوضح للقرنية بالإنجليزية Cornea والتي هي عبارة عن الطبقة الشفافة التي تغطي مقدمة العين ويحاول الطبيب حينها معرفة ما إذا كان التهاب القزحية ناتجا عن الإصابة بعدوى أم لا
وفي حال تواجد أعراض معينة قد تعطي دليلا عن السبب المحتمل للإصابة بالتهاب القزحية قد يحتاج المريض للخضوع إلى العديد من الفحوصات الأخرى لمعرفة السبب بشكل أكثر دقة وتتضمن هذه الفحوصات ما يأتي
- فحوصات الدم للتحقق من وجود أمراض مناعة ذاتية أو عدوى
- تصوير الصدر بالأشعة السينية أو ما اسمها أشعة إكس بالإنجليزية X ray أو بالتصوير المقطعي المحوسب بالإنجليزية CT scan للتحقق من وجود داء الساركويد أو السل
- تصوير المفصل العجزي الحرقفي بالإنجليزية Sacroiliac joint بالأشعة السينية
- أخذ عينة من السائل داخل العين بهدف التحقق من وجود حالات نادرة
علاج التهاب القزحية
يهدف علاج التهاب القزحية إلى المحافظة على الرؤية وتخفيف الألم والالتهاب الموجود وبالطبع يقتضي الحال عند ترافق التهاب القزحية مع مشكلة صحية كامنة ما علاج هذه المشكلة ومن الضروري طلب الرعاية الصحية في حالات التهاب القزحية وذلك لأن العلاج يتطلب أدوية موصوفة بوصفة طبية إلى جانب زيارات متابعة دورية لطبيب العيون وتشمل النصائح العامة لعلاج التهاب القزحية الالتزام الدقيق بالأدوية كما تم وصفها تماما إلى جانب وضع نظارات معتمة من قبل المرضى الذين يسبب الضوء المزيد من الألم لديهم ومن الممكن الاستعانة بمسكنات الألم الخفيفة للتخفيف من الانزعاج مثل الأسيتامينوفين بالإنجليزية Acetaminophen والإيبوبروفين بالإنجليزية Ibuprofen وتتضمن الخيارات الدوائية المستخدمة في علاج التهاب القزحية ما يأتي
- موسعات حدقة العين توجد هذه الأدوية على شكل قطرات أو حبوب ويتمثل مبدأ عملها في توسيع حدقة العين ومنع انقباض القزحية بهدف تخفيف الالتهاب كما يؤدي هذا بدوره إلى تخفيف الألم المصاحب وزيادة سرعة الشفاء ومن الجدير بالذكر أن قطرات العين الموسعة للحدقة تستخدم عادة بهدف إراحة العين ومنع التصاق الحدقة بالعدسة أسفلها ولكن من جهة أخرى قد ترافق استخدام هذه القطرات حساسية أعلى للأضواء الساطعة وعدم وضوح الرؤية للأجسام القريبة
- قطرات العين التي تحتوي على الستيرويد بالإنجليزية Steroid يتم وصف قطرات الستيرويد مثل الكورتيزون بالإنجليزية Cortisone بهدف التخفيف من الالتهاب الموجود وذلك في حال عدم وجود العدوى سواء البكتيرية أو الفيروسية وفي حال عدم تحسن وضع المريض خلال أسبوع أو في الحالات الشديدة قد يلجأ طبيب العيون إلى حبوب الكورتيزون أو الحقن حول العين وتعتمد مدة العلاج على شدة الحالة ومدى استجابة عين المريض للعلاج











